Repost: Max More, "Who are the Experts on Cryonics?"

I can believe it’s another repost from LessWrong! Cryonics, phrenology and other laughed at fields are not something I deeply care about. This article provided some important considerations for those who do care about these fields. It defines what an expert is and isn’t, and why science requires doubt.

Original link: https://biostasis.substack.com/p/who-are-the-experts-on-cryonics This was taken without permission, to bring attention of this substack to a wider audience (similar to a Facebook repost). I encourage you to check out the Biostasis Standard for newer articles. They are new, but promising.


Who are the Experts on Cryonics?

MAX MORE MAY 9, 2023

Arthur C. Clarke’s First Law:

“When a distinguished but elderly scientist states that something is possible, he is almost certainly right. When he states that something is impossible, he is very probably wrong.”

Human biostasis – currently primarily in the form of cryopreservation – is a highly-contested practice. Advocates maintain that cryonics can preserve humans well enough – at least under good conditions – that there is a reasonable chance that more advanced technology in the future could repair and revive them. Critics dismiss cryonics as lacking a basis in science, being a “pseudo-science”, or as amounting to no more than “freezing corpses.” A few people doubt that it will work but acknowledge that it’s not unreasonable to try to make it work.

How is someone unfamiliar with all the details of cryonics theory and practice to evaluate it? We face a wide array of complex topics where we find it difficult to directly settle on the truth or falsity of claims. What causes aging? What is the most environmentally and economically sound source of energy? How much should we welcome or fear advanced artificial intelligence? Is global warming a major problem and what is the wisest way to respond? What is the cause of the huge increase in depression and anxiety among young people? Is it feasible to establish a Mars colony in the next few decades?

For most complex or difficult topics most of the time, we cannot practically determine the truth directly. We don’t have the time or capability to learn all the relevant knowledge (we are “rationally ignorant”) or develop relevant skills. We can avoid holding an opinion on a topic – something which most of us find hard to do. Intellectual humility is hard, especially for people who pride themselves on their intelligence.

We must face the fact that experts – even the best experts we can find – are often wrong or biased

If we think it important to hold an opinion, we may find that we must turn to experts. Unfortunately, this doesn’t solve our problems. We still must figure out who the relevant experts are, to what extent the experts agree or disagree, how we can evaluate expertise, and whether the relevant fields are even developed enough to have real experts. After all that, we must face the fact that experts – even the best experts we can find – are often wrong or biased.

Learning about a topic and looking to experts are not mutually exclusive paths to knowledge. Gaining some familiarity with a field will usually help us to figure out how to evaluate those who claim to be experts. Learning more can help us figure out how to define “the field” in which we seek experts. For instance, if you want to form reasonable opinions about the potential benefits and risk of AI, do you just need to listen to computer scientists? (Only to those who specialize in AI or others too?) Or do you need to listen to historians of technology, experts in regulation, risk management, and other fields?

Cryonics has been practiced for over half a century but it’s still on such a small scale that most people are either ignorant of it or don’t know who to regard as the appropriate experts.

Whose expertise is relevant to evaluating cryonics?

It might seem that we need to break this question into two questions reflecting the two parts of the cryonics idea. The first is the idea that we can preserve humans after clinical death well enough to preserve the cells in their bodies and especially brains sufficiently well that nothing crucial is lost. The second part is the idea that it should one day be possible to repair cryopreserved individuals and to revive them. The first part refers to the feasibility of things we can do today and the other to the feasibility of things we can do decades in the future.

Although these two aspects of cryonics are far apart in time, they cannot be separated fully. At issue is the feasibility of preserving a person well enough to retain cellular structure sufficiently well. But our understanding of “sufficiently well” depends on the future capabilities of repair and revival technologies. An expert in current resuscitation research and practice may look at the state of a cryonic patient’s cells and, especially brain, see that they don’t know of any way of reversing the damage, and conclude that preservation is not “sufficiently good”.

We must be careful in identifying the relevant experts

This underlines the point that we must be careful in identifying the relevant experts. Two of the most obvious fields in which we might expect expertise to be relevant are cryobiology and resuscitation medicine. Other experts we should consider include thanatologists, biochemists, cryonics-specific researchers, neuroscientists, nanotechnologists, cryptographers, and information retrieval experts. Each of these can be broken down into subdisciplines or specializations. Thanatology is an interdisciplinary field that includes but is not limited to the study of the mechanisms and forensic aspects of death and the bodily changes that come with death and during the postmortem period.

Cryobiologists have expertise of obvious relevance, and this field was critical in developing the cryoprotectant solutions used in cryonics. However, many cryobiologists may specialize in areas of little relevance – like the freezing of plants. The statements of some cryobiologists suggest that they are not even familiar with vitrification. In other cases, they speak as if they are ignorant of vitrification even though we know they cannot be given the widespread use of the technique in fertility cryopreservation. In those cases, they are simply being dishonest.

Experts dropping the ball

Georgia Institute of Technology professor Jens Karlsson, an expert in cryogenic tissue preservation, has been quoted as saying about cryonics: “They are effectively destroying the body and preserving the pieces, hoping someone in the future can put the pieces back together.” Given that it is now uncontroversial that we can successfully cryopreserve numerous tissues – skin, corneas, heart valves, sperm, eggs, embryos – this statement is baffling. If cryonics destroyed cells, none of these uncontested feats would be possible. The assertion that the body is destroyed is absurd and makes one doubt Karlsson’s honesty. The question is not whether cells are destroyed but whether they are preserved well enough.

Dayong Gao, of the Center for Cryo-Biomedical Engineering and Artificial Organs, was quoted as saying: “we simply don't know if (subjects have) been damaged to the point where they've 'died' during vitrification because the subjects are now inside liquid nitrogen canisters." This assertion is understandable if Gao hasn’t investigated published research on cryonics.

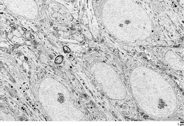
In reality, cryonics organizations have examined the state of cryopreserved human tissue. CT scans on multiple patients reveals the extent to which tissue has been cryoprotected and vitrified. CT scans don’t reveal enough detail to determine the degree of preservation of organelles – the components of cells. However, there has been a limited amount of further evaluation using methods such as electron microscopy, biopsy and then differential scanning calorimetry. These show that, under reasonable conditions, the ultrastructure of the brain is preserved extremely well.

Rabbit hippocampus

In contrast, consider the view of Sebastian Seung, physicist and neuroscientist and author of Connectome: How the Brain's Wiring Makes Us Who We Are. Seung knows a lot about the brain and memory. In his book, he considered two forms of biostasis – cryonics and chemical preservation. He thinks more information is needed to settle the question but does not dismiss cryonics.

Recall the opening quotation from Arthur C. Clarke. We can expand on his point by noting that it is easier to see how something is possible if you see a path to doing it. If you can see how to do it, even if you haven’t tried it yet, you are more inclined to agree that it is possible. What if you cannot think of a way to achieve something? Too many people jump from their own inability to envisage a solution to the conclusion that something is impossible. But the inability to envisage a way to do something is no reason to think it impossible. Experts are far from immune from this fallacy. They may even be especially vulnerable because of their narrow focus.

When critics dismiss cryonics as “impossible” or “a fantasy”, it often reminds me of past dismissals of human flight – both on Earth and in space. Suppose, instead of discussing cryonics in the 2020s, we are discussing space travel in the 1890s. You are proposing that humans will be able to fly. No one has demonstrated it to be impossible and technology continues to advance. A newspaper reporter hears of your daring claim and goes to talk to an expert. The reporter thinks: “Well, what flies? Birds! Insects! Of course. I’ll go talk to an ornithologist.”

The ornithologist would probably dismiss human flight as impossible, a fantasy, nonsense suited only to an H.G. Wells novel. How can you possibly get humans to fly using wings? Humans are too big and too heavy to fly by flapping artificial wings. They have the wrong build. They are too weak. The reporter would probably take the ornithologist at his word and dismiss your claim.

You might reply: “Go and talk to these two guys.” “What do they do?” asks the reporter. “They are bicycle mechanics,” you reply. The reporter will laugh and walk off. Yet, in 1903, two bicycle mechanics went down in history – Wilbur and Orville Wright. Ornithologists can be expert in their field and yet lack authority to make firm declarations about human flight. They are not materials experts, nor fluid mechanics experts. The flapping approach might work but only with materials and means they cannot envisage.

Those confident in the omniscience of their expertise have not been shy about declaring flight to be impossible. A few examples:

The example of the bird does not prove that man can fly. Imagine the proud possessor of the aeroplane darting through the air at a speed of several hundred feet per second. It is the speed alone that sustains him. How is he ever going to stop?

— Simon Newcomb, in the Independent, 22 October 1903

One: There is a low limit of weight [of about] 50 pounds beyond which it is impossible for an animal to fly.

Two: The animal machine is far more effective than any we can hope to make.

Three: The weight of any machine constructed for flying, including fuel and engineer, cannot be less than three or four hundred pounds.

Is it not demonstrated that a true flying machine, self-raising, self-sustaining, self-propelling, is physically impossible?

— Professor Joseph Le Conte, University of California, Popular Science Monthly, November 1888.

All this talk about space travel is utter bilge. I don't think anybody will ever put up enough money to do such a thing…. It is all rather rot.

— Sir Richard van der Riet Wooley, on assuming the post of British Astronomer Royal, Time magazine, 16 January 1956

Space travel is bunk.

— Sir Harold Spencer Jones, (former) Astronomer Royal of Britain, two weeks before the launch of Sputnik I, 1957

To place a man in a multi-stage rocket and project him into the controlling gravitational field of the Moon where the passengers can make scientific observations, perhaps land alive, and then return to earth—all that constitutes a wild dream worthy of Jules Verne. I am bold enough to say that such a man-made voyage will never occur regardless of all future advances.

— Dr. Lee DeForest, the New York Times, 25 February 1957

“In my opinion such a thing is impossible for many years...[P]eople...have been talking about a 3000 miles high-angle rocket shot from one continent to another, carrying an atomic bomb and so directed as to be a precise weapon...I think we can leave that out of our thinking.” Dr. Vannevar Bush, testimony to Senate committee, 1945.

Another thing to consider in case “experts” are being consulted about cryonics is that they usually have no “skin in the game.” There are no (professional) repercussions to making inaccurate statements about cryonics. Consequently, they can be completely off the mark without negative feedback from peers or their institutions.

Factors to consider in evaluating expertise

What is the scope of an expert’s knowledge? A sound evaluation of cryonics requires a multidisciplinary approach. Someone may have deep expertise in a narrow, specific area such as embryo cryopreservation but lack knowledge of, say, brain cryopreservation, resuscitation, or neuroscience, or may not know much if anything about vitrification.

Someone may be a top expert in cryobiology but lack much knowledge of the biochemistry and neurology of memory formation and retention. Many cryobiologists are not even familiar with the field of brain cryopreservation (which exists independently of cryonics) They may be unaware of the postulated capabilities of advanced molecular nanotechnology. They may be unaware of knowledge in cryptography and information retrieval that is relevant to determining whether it might be possible to restore memories and personalities even in a brain with extensive damage.

Does the expert have any relevant expertise? Critics quoted as experts may not be experts at all. This includes most bioethicists. As an example, take the case of Kenneth Goodman, director of the University of Miami's Bioethics Program. Asked about cryonics, Goodman made assertions such as: “There just is no science there. The idea that sometime in the future scientists will be able to reconstitute people with the same memories and knowledge—they’re not just talking about violating the laws of nature.”

Goodman fails to specify in what way cryonics violates the laws of nature. Cryonics depends on the laws of nature (in physics and chemistry) in using extreme cooling to slow and stop metabolism. Projections of future capabilities for repair are necessarily speculative but are within the bounds of the laws of nature. Robert Freitas has explored in tremendous detail the requirements for reviving humans from cryopreservation in his book Cryostasis Revival. No magic is needed.

Goodman also says: “Think of a memory from childhood. “Where'd that come from? What combination of cells and electrical impulses was able to summon that up? That’s a scientific mystery.” If Goodman is saying merely that we do not yet have a complete understanding of memory, fair enough. But, in that case, he has no case against cryonics. To dismiss cryonics, he would have to show that cryonics depended on the persistence of structures that science has demonstrated do not persist. If he is saying that we know nothing about the mechanisms of memory, he should speak only for himself. It shows a serious ignorance of cognitive neuroscience which has identified the areas of the brain involved and the roles of long-term potentiation, changes in neural synapses, spike-timing-dependent plasticity (STDP), and so on.

What would a reasonable technical critique of cryonics entail? It might say something like this: “Given what we know about the neuroanatomical basis of memory and identity, contemporary vitrification technologies disrupt this in a way that does not even allow to reconstruct this information from the damage state because…” Suffice it to say that almost all critics of cryonics do not even remotely reason at this level of detail.

How experts can be wrong

Let’s say we have identified relevant experts. We know that their expertise may not cover all the areas needed to make a sound evaluation. Relying on experts is even more tricky, however, because experts can be wrong, and they often are. Let us look at some of the ways experts can go wrong – even in their published work.

Typically, we do not have direct access to expertise. We rely on reports of expert views. This leads to two potential problems: The factual conclusions of experts can be misrepresented by those who claim to speak for all experts. And the factual conclusions of experts can be incorrectly evaluated by those who claim to speak for all experts. To see this for yourself, compare the content of the IPCC climate science reports to the executive summary written for policymakers and compare that to what is reported in the press.

In recent years, more people have become aware of problems in the way science is practiced and reported. Expert opinion and reporting is affected by numerous factors other than the evidence. Professional journals can be captured by a particular viewpoint while others are excluded or minimized. Certain viewpoints capture the editorial control of journals. Researchers writing papers may fear offending those editors and other influential parties such as grant makers or professional societies.

The number of papers being retracted or whose results fail to be replicated shows that we have a serious problem of lack of adherence to strict scientific standards and methodologies. Papers agreeing with the consensus view are more likely to get published and to attract research funding.

Another publication bias comes from the tendency to not publish null results.

Another publication bias comes from the tendency to not publish null results. Editors like to see statistically significant results and favor papers that show that rather than those that do not. Researchers often will not even bother to submit null results. But a negative result is also informative. Positive, dramatic results have larger impact factors and impact is what drives subscriptions and revenue. The tendency to favor true positives and false positives means that the rate of published false positive results will be far higher than the actual number of false positives.

Other major sources of problems are too complex to more than briefly mention here. One is the widespread problem of “p-hacking” or “data dredging.” This refers to the misuse of data analysis to find patterns in data that can be presented as statistically significant, thereby greatly increasing the number of false positives while understating their risks. P-hacking is probably mostly unintentional although there is clearly some deliberate fraud and, in between, a temptation to turn a blind eye to one’s methodology. P-hacking may involve collecting many variables so that so you can find “statistically significant” results other than the one you were looking for. Or the researcher may carve up the data into sub-analyses until one yields the desired result. Or a researcher may drop annoying outliers that prevent them from achieving statistical significance.

Another form of p-hacking is known as HARKing – “hypothesizing after the results are known.” Good practice is to design a study to investigate a well-formed hypothesis. Even better, publish the study design and objectives before starting. HARKing means seeing what significant results you can get from an experiment and then writing up the study as if it was intended to investigate the variable whose appearance was significant.

Caution: Expert ahead!

Dr. Richard Feynman famously said: “Science is the belief in the ignorance of experts.”

When we look to experts, we would like them to have these qualities: A high degree of competence in their area; a comprehensive understanding of the topic; objectivity in their conclusions and recommendations; open-minded regarding their positions; transparent in their research and data; and they base their data on empirical methods and do not massage the data to get the result they want.

In many areas of life, we have little choice but to look to experts. It’s therefore disturbing to see so many ways in which expertise can fail. To emphasize the fallibility of experts, consider some classic examples.

“There is practically no chance communications space satellites will be used to provide better telephone, telegraph, television, or radio service inside the United States.” T. Craven, FCC Commissioner, 1961. The first commercial communications satellite became operational in 1965.

“There is no plea which will justify the use of high tension and alternating currents, either in a scientific or a commercial sense.” Thomas A. Edison, 1889.

“I must confess that in my imagination, in spite even of spurring, refuses to see any sort of submarine doing anything but suffocating its crew and floundering at sea.” H.G. Wells, in Anticipations, 1901.

“The energy produced by the breaking down of the atom is a very poor kind of thing. Anyone who expects a source of power from the transformations of these atoms is talking moonshine.” Ernest Rutherford, physicist, ca. 1930.

Finally, experts know a lot about how things have been done and less about how things might change in the future. Future developments often come from diverse sources and new technologies. By specializing, experts often miss out on knowledge from other fields that might affect the applications within their own field in the future.

Experts know a lot about how things have been done and less about how things might change in the future.

Another truth-distorting problem is that scientists are reluctant to walk back erroneous statements about cryonics they have made in the past, even if these statements are still being used to delegitimize the field. As observed before, there is no “cost” about being wrong about cryonics (aside from the opportunity to not avail oneself of a means of survival).

In closing, it is encouraging to note a change in tone from the Society for Cryobiology. For many years, the Society had a statement that completely rejected cryonics. Not wanting to be associated with an obviously controversial practice, the Society threatened to excommunicate dissenting scientists, ruining their career. In the last few years as a new generation has risen to leadership positions, the Society has softened its position on cryonics.

Cryobiologists, neuroscientists, chemists, nanotechnologists, and many others have expertise helpful in evaluating cryonics. As we have seen, a claim of expertise is far from enough to allow you to reach a firm conclusion. In this field, there is no avoiding the need to do your own research to figure out what knowledge is relevant – and to become better at evaluating expertise.

There are a few short-cuts to evaluate the credibility of claims about cryonics: (a) Is cryonics being recognized as an interdisciplinary field? (b) Does an expert contradict their down field (like being ignorant about vitrification of complex organs)? (c) Is the critic aware of actual practices in cryonics? (d) Is the idea of molecular repair recognized at all?


You may have not been convinced cryonics has mass importance today, but did you take away anything else? Would you freeze yourself?

Previous
Previous

Repost: Matt Reynolds (Wired), "You’re Allergic to the Modern World"

Next
Next

Repost: Paul Voosen, "'It’s just mind boggling.' More than 19,000 undersea volcanoes discovered"